
Czym są alignery?
Alignery to przezroczyste, zdejmowane nakładki ortodontyczne, które w sposób kontrolowany i komfortowy przesuwają zęby do właściwej pozycji. Powstają na podstawie cyfrowego skanu 3D, dzięki czemu idealnie dopasowują się do uzębienia pacjenta.
To nowoczesna alternatywa dla aparatów stałych — estetyczna, wygodna i skuteczna. Pacjent nosi serię nakładek, a każda z nich wykonuje niewielką część pracy, prowadząc do finalnego efektu: prostych, zdrowo wyglądających zębów.
Dlaczego warto wybrać leczenie alignermi?

Szybkie i skuteczne
Szybkie i skuteczne
Dwuczęściowy system ortodontyczny łączy miękkie nakładki przyspieszające ruch zębów i twarde nakładki zapewniające pełną kontrolę nad ustawieniem, a cały proces przebiega w sposób zaplanowany i kontrolowany.

Komfort, któremu możesz zaufać
Nakładki są przezroczyste, lekkie i praktycznie niewidoczne. Brak drutów, zamków i ostrych elementów oznacza brak podrażnień, swobodne mówienie i pełną wygodę w codziennym życiu.

Najnowocześniejsza technologia
Cyfrowe planowanie 3D, inteligentne algorytmy, zespół ekspertów i w pełni zautomatyzowana produkcja gwarantują wyjątkową precyzję. Każdy etap leczenia jest dopasowany do indywidualnych potrzeb pacjenta, aby efekt był dokładnie taki, jak zaplanowano.

Przystępne cenowo i wygodne
Leczenie alignerami VinciSmile to jasny, przewidywalny proces bez ukrytych kosztów. Szybkie planowanie, sprawna realizacja i wygodny system noszenia nakładek pozwalają przejść terapię bez komplikacji i zbędnych wizyt.

„W tym roku z ogromnym zainteresowaniem obserwowałem rozwój nowego, jeszcze bardziej zaawansowanego systemu – VINCISMILE. Bez wątpienia rozwiązanie to wyniosło terapię alignerami na zupełnie nowy poziom dzięki ulepszonemu oprogramowaniu oraz znacznie większej precyzji i swobodzie planowania ruchów zębów. System zapewnia lekarzom poziom kontroli, który sprawia, że leczenie alignerami jest dziś dostępne dla każdego specjalisty zainteresowanego ortodoncją.
Z pełnym przekonaniem polecam go zarówno nowym użytkownikom, jak i doświadczonym stomatologom.”

„Wymiana nakładek dwa razy w tygodniu to rzadkość, a jednocześnie prawdziwy przywilej. Współpraca na linii VinciSmile – stomatolog – ja przebiegała sprawnie i bardzo skutecznie. Rezultaty po czterech miesiącach potwierdzają, że podjąłem właściwą decyzję.”

„Nasza praktyka współpracuje z VinciSmile od dwóch lat. Jakość i niezawodność ich produktów (nakładek ortodontycznych oraz skanera wewnątrzustnego), a także oferowanych usług stoją na bardzo wysokim poziomie. Współpraca z VinciSmile to prawdziwa przyjemność i dziękujemy zespołowi za wsparcie w rozwoju naszej praktyki.”

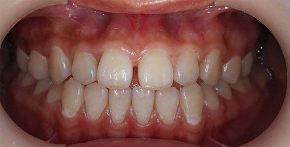
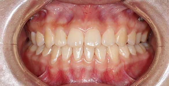
„Zawsze mnie denerwowała, że dwójka nie była w linii. Nawet na zdjęciach. Dzięki nakładkom VinciSmile naprawiłam to w zaledwie 2 miesiące – niesamowite, jak szybko widać różnicę.”

„Wybrałam pakiet VinciSmile Premium i już po 6 miesiącach moje zęby zostały całkowicie wyprostowane! Jestem bardzo zadowolona z efektów, jakości oraz ceny. Nakładki są dyskretne, komfortowe i niezwykle skuteczne – postępy widać z tygodnia na tydzień. Jeśli zastanawiasz się nad leczeniem niewidocznymi alignerami, z całego serca polecam VinciSmile. Mój uśmiech jest teraz idealny, a cały proces był w pełni profesjonalny i bardzo przyjemny!”

„W mojej pracy w telewizji mój uśmiech jest niezwykle ważny i w końcu mam taki, o jakim zawsze marzyłam. Po noszeniu niewidocznych nakładek VinciSmile zyskałam ogromną pewność siebie – efekty były widoczne w bardzo krótkim czasie. Większość osób nawet nie zauważała, że noszę nakładki, a ja często zapominałam, że mam je na sobie, bo były tak proste w użyciu i wygodne. Cała nasza rodzina jest pod ogromnym wrażeniem – moja córka, która miała nosić aparat ortodontyczny, teraz chce wybrać alignery. Decyzja o wyborze VinciSmile była jedną z najlepszych inwestycji w mój wygląd i pewność siebie.”




